Screeningul si tratamentul glaucomului
Metodele de investigaţie folosite în glaucom sunt:
- tonometria (măsurarea presiunii / tensiunii intraoculare)
- gonioscopia (examinarea unghiului camerular (ajută la stabilirea tipului de glaucom: cu unghi închis sau deschis, care au tratament diferit)
- oftalmoscopia (examinarea fundului de ochi, în special a papilei nervului optic)
- perimetria – examinarea câmpului vizual (determină măsura afectării fibrelor nervului optic, exprimată prin capacitatea pacientului de a vedea; în glaucom se produce o îngustare a câmpului vizual de la periferie spre centru)
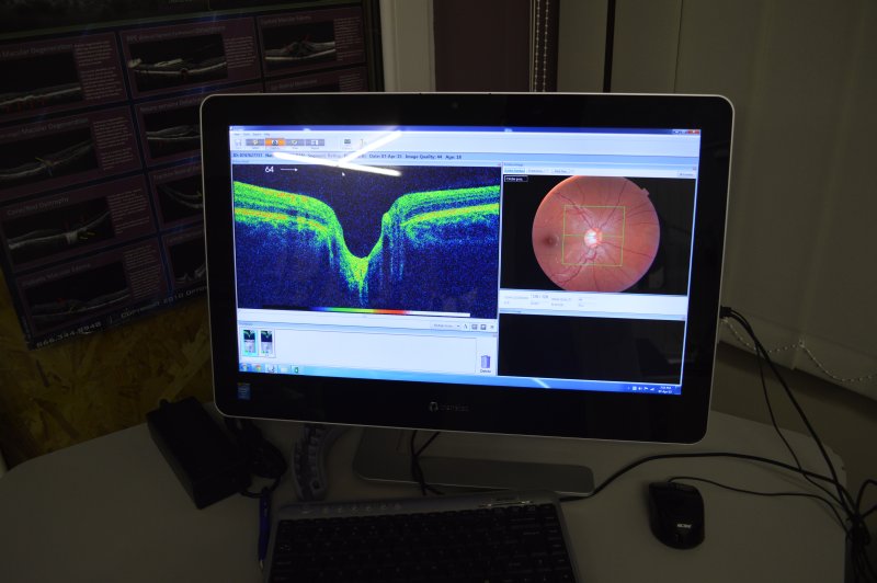
- examinări imagistice – permit evaluarea leziunilor fibrelor nervului optic (tomografie optică coerentă, tomografie prin scanare laser, scanarea prin polarimetrie laser)
- determinarea grosimii corneei (pahimetrie)
Din datele obţinute din investigaţii, medicul oftalmolog poate pune diagnosticul de glaucom, stabileşte tipul acestuia şi gradul de evoluţie a bolii. Este indicat ca orice persoană după vârsta de 40 de ani să-şi facă anual un control oftalmologic. Vizitele periodice la medicul oftalmolog, investigaţiile complete şi corecte împreună cu tratamentul urmat foarte serios de către pacient pot preveni efectele dezastruoase ale acestei boli.
- Glaucomul este o boală ce poate duce la orbire!
- 70 milioane de oameni din lume au glaucom, iar jumătate dintre ei nu sunt diagnosticaţi!
- Glaucomul nu este o afecţiune vindecabilă, dar este tratabilă!
